"Ha elhittem volna, hogy ekkora változást jelent, nem húzom évekig, hogy rászánjam magam..."

Ez a mondat hagyta el a 1976-ban született férfi páciensem száját, 10 nappal az első találkozásunk után. S valóban a változás magáért beszél:
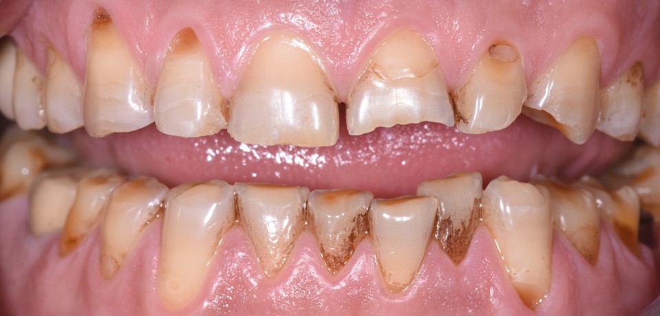
Érkezés pillanatában:

Végeredmény:

Az idő múlásával az erős rágás, fogcsikorgatás vagy fokozott savas étel fogyasztás következtében fogaink nagymértékben elkophatnak.
A helyreállítás több lépcsős folyamat orvos-páciens-technikus összehangolt együttműködésére van szükség a mindenki számára kielégítő végeredmény eléréséhez. Nagyon jó lenne, ha ez a médiában oly gyakran látható " 1 nap alatt kész" kategóriába esne.
10-14 nap alatt az alábbi ütemezésre számíthat a páciens.
1. Közös mosolytervezés
A beavatkozás előtt műanyagból a szájban is felépítettem a tervezett fogakat, így páciensem előre láthatta az új formavilágot. Ez lehetőséget teremtett, hogy megbeszéljük észrevételeinket, és együtt korrigálhattuk új mosolyát a kívánságainak megfelelően. Ezzel előzzük meg, hogy a pácienst ne érje meglepetés a végeredménnyel kapcsolatban.
2. Előkészítés - csiszolás
Egy hosszabb időtartamú kezelés alatt az összes fogát előkészítettem héjnak, illetve inlaynek. Mivel tapasztalatom szerint sok páciens fél attól, hogy a folyamat során nagymértékben elveszünk a természetes fogaiból itt szeretném kiemelni, hogy ilyen esetekben az előkészítés csupán egészen minimális foganyagveszteséggel jár.

A rendelőből páciensünk ideiglenes műanyag pótlásokkal távozhatott, így egyetlen napig sem volt lecsiszolt, fedetlen fogakkal, semmi sem okozott diszkomfortérzést számára. Nem kellett szabadságot kivennie, életvitelét változatlan módon folytatta a következő napokban.
3. Ragasztás
A következő találkozásra (kb. 10-12 nap múlva) fogtechnikusunk az előre megbeszélt forma és szín szerint magas minőségű porcelánból elkészítette a pótlásokat, amiket egy speciális, erős ragasztóanyaggal rögzítettem aznap a fogakon.

Páciensünk annyi pozitív megerősítést kapott környezetétől, hogy néhány hét múlva belevágtunk az alsó fogak helyreállításába is, amely ugyanúgy a fenti eljárás szerint készült.
Orvos: dr. Miklós Réka
Fogtechnikus: Nébl Péter
